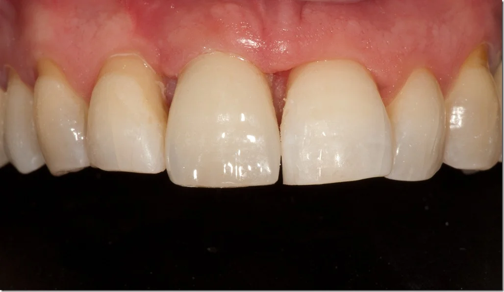
BEFORE
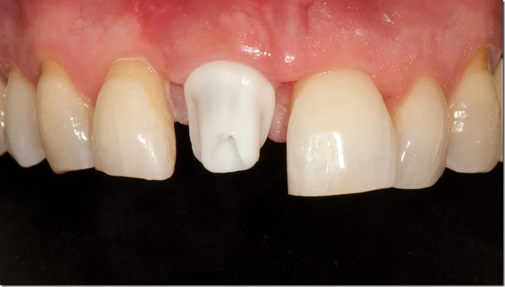
DURING
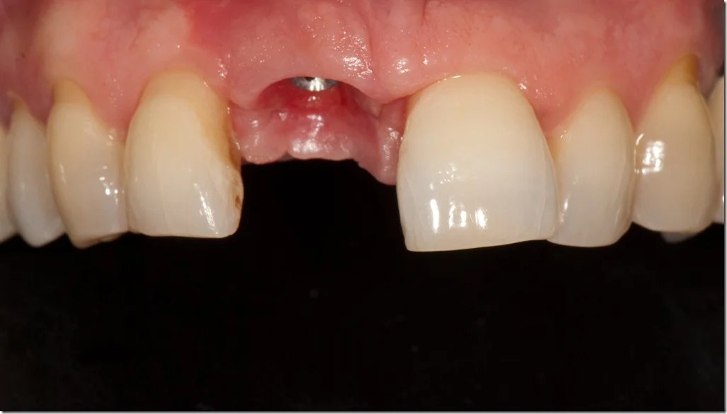
AFTER
BEFORE
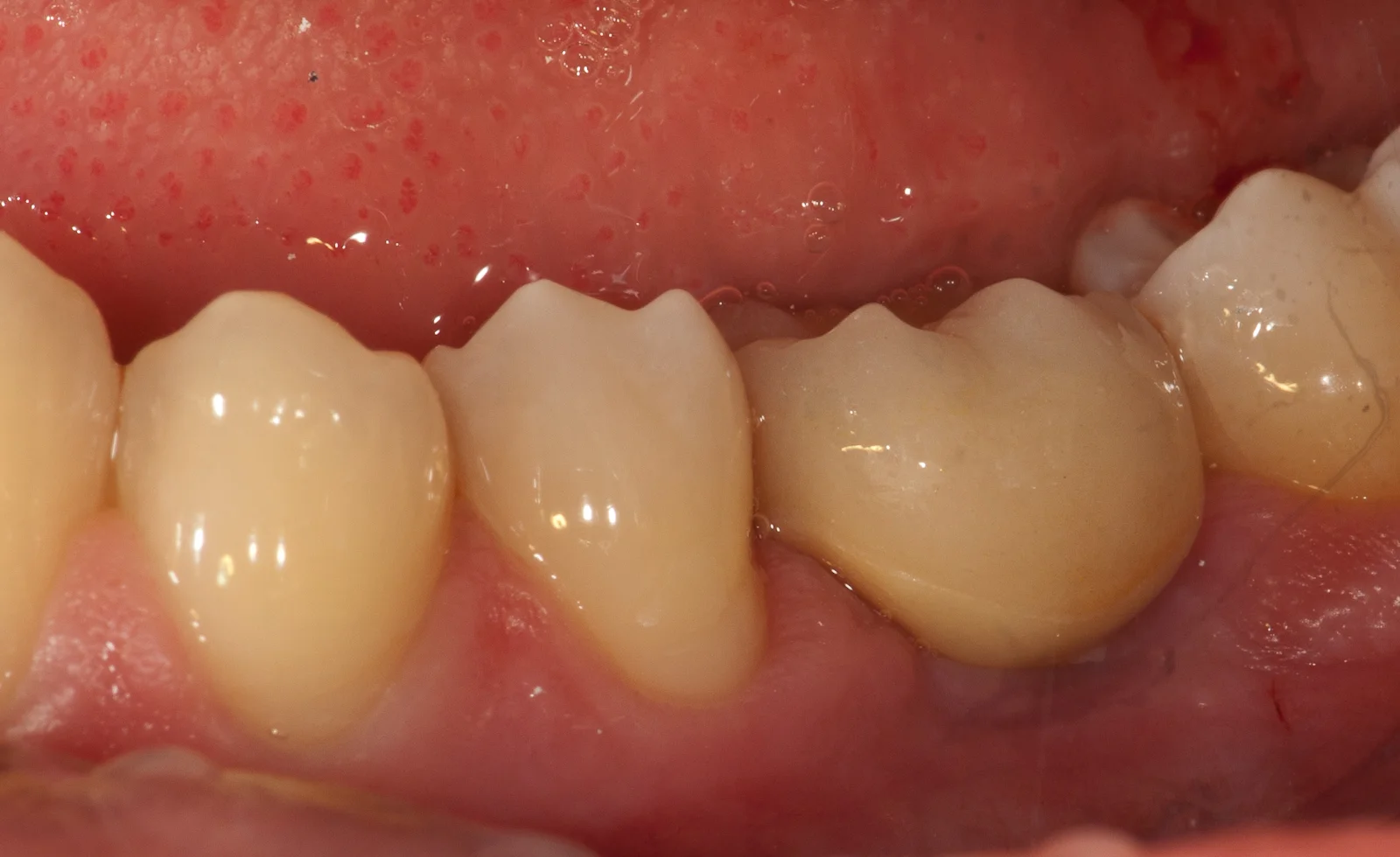
AFTER
Notre cabinet dentaire a pour vocation première de servir ses patients en pratiquant des soins sans douleur, dans les meilleures conditions techniques, d'hygiène et d'asepsie. Toute l'équipe soignante se forme régulièrement afin de vous faire profiter des dernières innovations dentaires.