Esthétique du sourire
Facettes céramiques
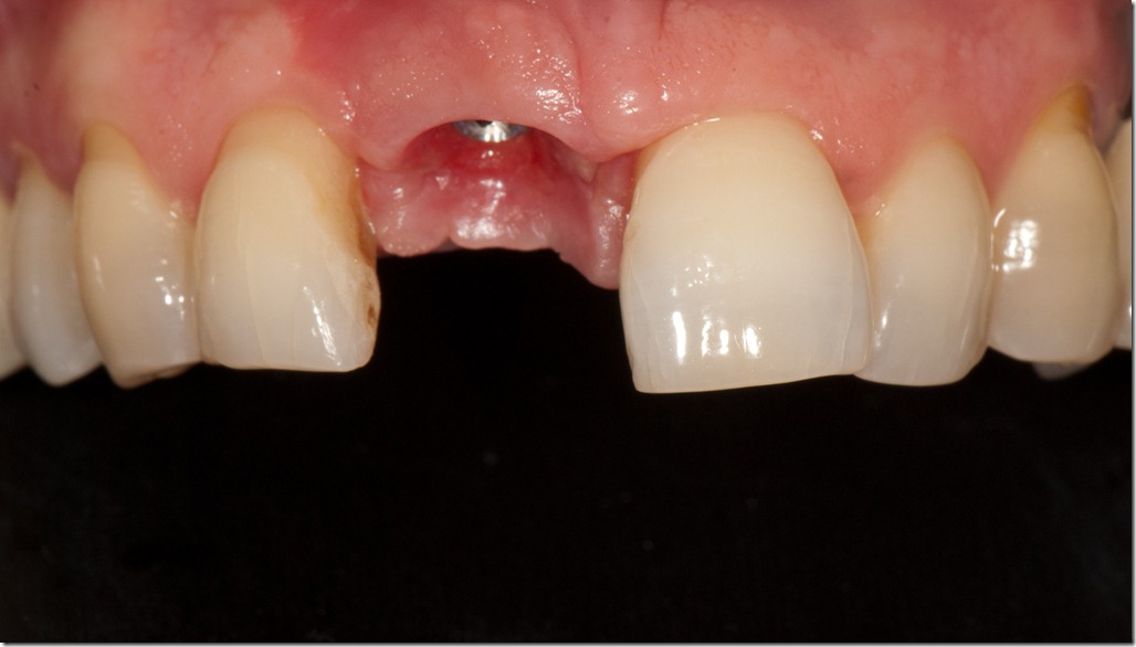
Implantologie
Votre forme, votre santé
Votre forme et votre santé dépendent aussi de votre santé bucco-dentaire. Avoir une denture de bonne qualité c’est vous garantir une bonne santé et on juge à contrario l’état de santé d’un individu à l’état de ses dents. Les dents sont pathognomoniques pour une personne sur sa façon de prendre soin d’elle.
Un abcès dentaire peut provoquer rhumatismes, problèmes cardiaques sévères voire mortels, dépressions immunitaires provoquant des pathologies majeures.
Faire lors de la première consultation, puis tous les 5 ans, un examen radiographique qui permet de dépister des infections dentaires parfois sans symptôme douloureux mais à l’origine de nombreuses pathologies.
Vos dents doivent être alignées. Dès l’enfance à l’âge de 6 ou 7 ans, une consultation permet de déterminer comment votre enfant pourra harmoniser ses dents.
Dès l’apparition de la première dent, l’enfant doit se brosser les dents et cela pour toute la vie ! Au moins 2 fois par jour ( oui 3 fois par jour c’est l’idéal … mais bon ) et au moins 1 bonne minute à chaque fois ( oui 3 minutes conseillées mais là aussi …) . L’absence de brossage peut faire apparaître des caries dentaires en quelques jours.
La brosse à dent doit être toujours souple afin de pouvoir masser les gencives sans agressivité. Utiliser un dentifrice blanc sans additifs de colorations et sur une brosse sèche qui sera plus efficace qu’une brosse passée sous le robinet. Nous recommandons les brosses à dents électriques de nouvelle génération type Sonicare Philips
Eviter les bonbons, carambars et autres boissons soda ( type coca) entre les repas qui augmentent l’acidité buccale qui détériorent l’émail de vos dents. Un dessert sucré après un repas sera moins altérant.
